Por que o controle de comprimento em endodontia é mais importante do que você pensa.
- Endotoday

- 25 de nov. de 2025
- 6 min de leitura
Atualizado: 5 de dez. de 2025


O comprimento de trabalho não é suficiente—Veja por que o controle de comprimento é importante.
Todos nós falamos sobre o comprimento de trabalho do canal radicular. Localizadores Apex, medições de arquivos, CBCTs. Mas é o seguinte: o comprimento de trabalho é apenas um número.
O controle de comprimento é a disciplina. É sobre consistência. É sobre não deixar essa medição de 18,5 mm se transformar em 18,0 ou 19,0 em algum lugar ao longo do caminho, porque é assim que os casos ficam confusos.
O verdadeiro domínio do endo está nos milímetros e o controle de comprimento é tudo.
Se você já adivinhou o ajuste do seu cone ou se viu refazer radiografias várias vezes, o controle de comprimento em endodontia é o elo que falta.
Comprimento de Trabalho vs. Controle de Comprimento em Endodôntica.
O comprimento de trabalho é o ato de medir o canal. Você obte um valor (digamos, 20mm) usando seu localizador de ápice ou CBCT.
O controle de comprimento é o ato de manter esse comprimento com pontos de referência consistentes, instrumentação cuidadosa e obturação intencional - para que você não esteja fora nem mesmo por 0,5 mm quando realmente conta.
Esse ponto de referência é de ouro e depois de testemunhar tantos dentistas instrumentando canais radiculares, sinto que o controle de comprimento é muitas vezes esquecido, o que descarrila seu procedimento e aumenta o tempo da cadeira.
Se você apenas prestou atenção a essa coisa, isso tornará sua obturação muito mais precisa e, portanto, eficiente. É uma economia de tempo, confie em mim!
Manter um controle rigoroso de comprimento na endodontia também pode criar muita segurança durante o seu procedimento. Portanto, criar controle de comprimento salvará sua "vida" em muitos de seus casos. E é por isso que eu queria compartilhar essa história exata de dente com você.
Uma História de Dente: Alto Risco, Alto Controle
Este caso surgiu durante um teste de uma nova oferta que estou desenvolvendo, Endotoday Academy
Tatiana, uma dentista clínica-geral, trabalhou comigo em um caso real. Como foi um a um, pensei que sabia que poderíamos enfrentar um caso que era anatomicamente desafiador e exigia um pouco de pensamento e estratégia antes de mergulharmos.
Dê uma olhada na radiografia pré-operatória, queixa principal do paciente perda de sensibilidade no lábio inferior esquerdo

.
À primeira vista? Este dente parece bem reto para a frente.
Há resina na câmara pulpar, então o acesso deve ser bastante difícil e os canais parecem bem abertos, então o retratamento deve ser fácil.
Mas, se você olhar mais profundamente, verá que este caso precisa de nós, como dentistas, para nos adaptarmos ao dente e à sua situação clínica. Mas o CBCT contou uma história diferente.

Olhando para a visão sagital do CBCT, eu sabia que este caso não era simples pois apresentava sensação de formigamento no lábio sugerindo uma certa intimidade com o nervo alveolar inferior que pode ser visto neste corte e eu não poderia simplesmente entrar neste dente sem um plano.
Mas na visão coronal da CBCT da distal, apresentava relativamente longe mas os produtos tóxicos estavam chegando a região do nervo alveolar inferior causando esta sensação então havia uma comunicação. Todo cuidado era pouco neste caso.

Passo A Passo: Como Gerenciamos Este Caso Complicado
Este caso é um caso de alto risco para parestesia se não estivermos atentos ao nosso controle de comprimento, então é assim que abordamos a situação:
1. Uma Conversa Transparente com o Paciente
Informamos a paciente de sua situação clínica e TODOS os riscos do tratamento e nosso plano de tratamento. Sem pressão. Usamos essa conversa para orientar totalmente o paciente a fazer uma escolha informada.
2. Comprimento de Trabalho do Canal Radicular Baseado em CBCT
Usamos nosso CBCT para definir nosso comprimento de trabalho em 18,5 mm.

Então, agora sabemos que devemos estar atentos a essa medida de 18,5 mm, nosso comprimento de trabalho do canal radicular .Pedi ao dentista para escolher seu ponto de referência para CADA canal, memorizá-lo e ADERI-LO.
No momento em que você fica muito relaxado sobre esse ponto de referência, é quando você começa a mudar seu comprimento de trabalho de 0,5 mm para 1 mm e começa a jogar fora sua obturação final. Você já viu a conexão?
3. Instrumentação Conservadora
Em seguida, mudamos nossa estratégia típica de instrumentação.
Levou nosso rotativo apenas para 17 mm (cerca de 1,5 mm a menos) com limas de retratamento da Mk Life..
Mediu nossa seringa de irrigação para 15 mm para criar segurança adicional e irrigação copiosa com ultrassom da CVDentus Optymus e ponta T0T-E5.
Fiz a maior parte da limpeza e modelagem dessa maneira.
Refinou esses poucos milímetros apicais com instrumentação rotatório com 18,5mm, utilizando o sistema RaCe Evo, sendo muito cauteloso e intencional com nosso ponto de referência.
Uma última passagem consciente com o rotativo para criar a forma perfeita para o nosso cone de guta percha caber.

4. Obturação Segura e Consciente
Então estávamos prontos para obturar, que é provavelmente a parte mais assustadora do procedimento em um caso como esse, então criamos ainda mais estratégia.
Coloque uma fina camada do cimento endodôntico no cone e remova um pouco na ponta da guta percha.
Obturado com técnica do cone único pois era a mais segura.. Exatamente o que é necessário em um caso como este, onde já há sinais de parestesia.

Prestar atenção ao controle de comprimento durante todo o procedimento funcionou!
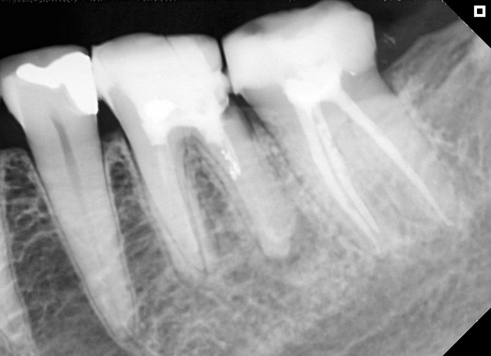
Veja como ficou esse canal radicular.
Após 3 semanas da obturação o paciente já relatou que a perda da sensibilidade na região do lábio já havia entrado em normalidade..
Pensamentos Finais sobre o Comprimento de Trabalho do Canal Radicular
Este não foi um caso fácil. Mas foi a prova de que desacelerar, criar estratégias e permanecer consistente com seus pontos de referência compensa.
O comprimento de trabalho do canal radicular dá uma medida. O controle de comprimento em endodontia lhe dá um resultado.
Eu não fiz este caso, mas treinei um dentista clínica geral para fazê-lo com facilidade e cuidado e sem apreensão.
Com atenção plena e orientação, eu sei que você também é capaz de tratar um caso como este.
Se você quiser mergulhar fundo no endo e fazê-lo de uma maneira que não tenha que ser assustadora ou intimidante, junte-se à minha comunidade endo. Confira e inscreva-se na Endotoday Academy e eu o guiarei pessoalmente para fora do medo endodôntico para sempre.
Fluxograma Clínico — Como realizar o controle ideal de comprimento
1. Avaliação inicial
Analisar radiografia pré-operatória.
Identificar curvaturas, reabsorções e possíveis variações anatômicas.
2. Determinação provisória
Realizar medição radiográfica inicial.
Subtrair 1 a 3 mm conforme anatomia e idade do dente.
3. Uso do localizador apical
Introduzir lima fina até detectar o ponto de “APEX”.
Recuar até a leitura estável em 0.5.
Registrar a medida exata.
4. Confirmação com radiografia
Fazer radiografia de confirmação com lima posicionada.
Avaliar paralelismo e adequação da posição apical.
5. Ajuste fino
Corrigir diferenças entre leitura eletrônica e radiográfica.
Definir comprimento de trabalho definitivo.
6. Monitoramento durante a instrumentação
Reconfirmar o comprimento após uso de instrumentos maiores.
Reavaliar o localizador em canais que alteram diâmetro.
7. Finalização
Garantir que instrumentação e irrigação respeitem o limite apical.
Avaliar obturação final alinhada ao comprimento estabelecido.
Perguntas Frequentes (FAQ) sobre Controle de Comprimento em Endodontia
O que é o controle de comprimento de trabalho?
É a determinação precisa da extensão que os instrumentos e irrigantes devem alcançar no canal radicular para permitir limpeza eficaz sem ultrapassar o forame apical.
Por que o controle de comprimento é tão importante?
Porque determina o equilíbrio entre remoção adequada de microrganismos e prevenção de danos teciduais. Um comprimento incorreto compromete o prognóstico e aumenta o risco de dor pós-operatória.
O que acontece se o comprimento de trabalho for maior do que o ideal?
Há maior risco de extrusão de debris, irrigantes e materiais obturadores, podendo causar inflamação, dor intensa, retardo de cicatrização e até lesões periapicais crônicas.
O que acontece se o comprimento de trabalho for menor do que o ideal?
Partes contaminadas do canal permanecem sem preparo e sem irrigação, favorecendo persistência bacteriana e aumentando as chances de falha do tratamento.
Como o localizador apical ajuda no controle de comprimento?
Ele mede a impedância elétrica do canal para localizar com precisão a posição do forame apical, reduzindo erros associados à radiografia e garantindo previsibilidade.
Devo confiar mais no localizador ou na radiografia?
No localizador apical para precisão; na radiografia para confirmação e visualização anatômica. O ideal é combinar ambas as técnicas.
Quais situações dificultam o controle de comprimento?
Canais amplos, forames imaturos, sangramento abundante, perfurações, retratamentos e presença de instrumentos fraturados.
Qual é a diferença entre o comprimento de trabalho do canal radicular e o controle do comprimento?
Comprimento de trabalho = a medida.
Controle de comprimento = honrando consistentemente essa medição durante todo o tratamento.
Por que o controle de comprimento é tão importante?
Minimiza o excesso e o preenchimento, reduz o tempo da cadeira e melhora a segurança do paciente. Até mesmo uma deriva de 0,5 mm pode comprometer o seu caso.
Como a CBCT ajuda no controle do comprimento?
Mostra proximidade com pontos de referência anatômicos (como o IAN), permitindo que você planeje com precisão e reduza o risco.
Tudo bem encaminhar um caso como este?
Com certeza. Se você não está confortável, se referir não é fraqueza, é sabedoria.
#Endodontia #endotoday #DentistaEndodontista #TratamentoDeCanal #EspecialistaEmEndodontia #EndodontiaBrasil #CanalRadicular #EndodontiaAvançada #MicroscopiaEndodôntica #EndodontiaModerna #ClínicaDeEndodontia





Excelente conteúdo!